O laser e utilizado pela medicina há vários anos com inúmeras finalidades. A ginecologia vem acompanhando o desenvolvimento de novas técnicas para sua aplicação na região íntima transformando a vida das mulheres em suas várias fases da vida.

Vamos conhecer mais sobre essa modalidade terapêutica?

O que é o rejuvenescimento íntimo e qual a sua relação com a menopausa?

As mulheres ao longo das décadas vêm apresentando aumento da expectativa de vida e consequentemente experimenta a maior parte da sua existência na menopausa, estando sujeita a suas complicações e alterações decorrentes da modificação hormonal.

A menopausa se caracteriza pela cessação do fluxo menstrual devido a ausência de produção de hormônios pelos ovários, sendo, portanto, um diagnóstico clínico e retrospectivo.

Em consequência temos uma atrofia vulvar e vaginal caracterizada pelo adelgaçamento das camadas de tecido vaginal, diminuição de colágeno e diminuição de lubrificação. E assim, desenvolver sintomas como ressecamento vaginal, ardor ou queimação vaginal, síndrome urogenital (urgência ou incontinência urinária), dor durante o ato sexual e consequente diminuição do prazer entre outras queixas.

O laser constitui uma ótima alternativa nas pacientes que possuem vida sexual ativa para o restabelecimento da funcionalidade vaginal.

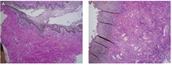
(A) Histologia do pré-tratamento de uma mulher de 71 anos.
(B) Após 5 meses de tratamento, a histologia mostrou aumento coloração de colágeno e elastina, bem como um epitélio mais espesso com um maior número de camadas de células e um melhor grau dematuração de superfície.

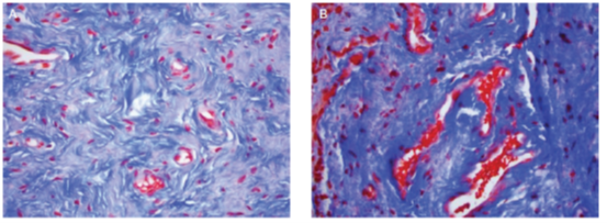
(A) Histologia de pré-tratamento de uma mulher de 59 anos.
(B) Após 8 meses de tratamento, os achados histológicos mostraram aumento da vascularização submucosa, bem como aumento dos depósitos de colágeno e fibras elásticas. 
Samuels, J. B., & Garcia, M. A. (2018). Treatment to External Labia and Vaginal Canal With CO2 Laser for Symptoms of Vulvovaginal Atrophy in Postmenopausal Women. Aesthetic Surgery Journal. doi:10.1093/asj/sjy087  

(A) Histologia de pré-tratamento de uma mulher de 59 anos.
(B) Em 8 meses após o tratamento, depósitos de colágeno (observados com coloração tricrômica) apareceram mais proeminente após o tratamento.

(A) Histologia de pré-tratamento de uma mulher de 59 anos.
(B) Após 8 meses de tratamento, vascularização mais proeminente e fibras elásticas foram observadas mais intensamente (mancha elástica de Verhoeff). 

Samuels, J. B., & Garcia, M. A. (2018). Treatment to External Labia and Vaginal Canal With CO2 Laser for Symptoms of Vulvovaginal Atrophy in Postmenopausal Women. Aesthetic Surgery Journal. doi:10.1093/asj/sjy087 

Perguntas Frequentes

Não existe contraindicação para a associação das terapias. Caso a paciente ainda apresente sintomas locais mesmo em uso de TRH, podemos indicar o laser para melhorar a resposta ao tratamento hormonal.

Vivenciamos uma elevação nos casos de câncer de mama dentre outros na população feminina. Os tratamentos oncológicos sejam radioterápicos como quimioterápicos podem interferir na função ovariana e levar a menopausa.

O laser melhora as fibras colágenas, a vascularização local e hidratação tecidual proporcionando o restabelecimento da função vaginal

Sabemos que a baixa de estrogênios decorrente da menopausa proporciona piora da funcionalidade do tecido da bexiga e da uretra causando piora dos sintomas de perda urinaria.

O laser apresenta um efeito proliferativo no epitélio uretral e da bexiga proporcionando melhora da perda de urina.

Diversas lesões vulvares e vaginais podem ser tratadas com aplicação do laser. 

A vantagem em relação ao uso de ácidos ou cauterização elétrica se traduz na menor ação destrutiva dos tecidos sadios o que proporciona melhor aspecto estético após o tratamento.

A mudança no trofismo da área genital causada pela redução de hormônios na menopausa pode alterar a cor da região vaginal.
Outros motivos também podem alterar a cor da região da vagina como, gravidez, resistência à insulina, SOP, obesidade gestação e após procedimentos depilatórios. Por ser uma região de dobra, existe um acúmulo hormonal ou de melanina fazendo com que a vagina fique mais escura.

O laser provoca micro lesões na derme vulvar ou mucosa vaginal, estimulando significativamente a produção de colágeno e a REGENERAÇÃO, ESTÉTICA e FUNCÃO da região íntima, REJUVENESCIMENTO o local.

Pacientes pós parto e durante a amamentação podem cursar com adelgaçamento vaginal que provoca ardor e dor no ato sexual.

O laser permite melhora do tecido vaginal, aumentando a espessura do epitélio vaginal e aumentando o diâmetro das células epiteliais ricas em glicogênio,  proporcionando alivio dos sintomas.

O aumento dos lábios genitais pode trazer desconforto para algumas pacientes durante a relação sexual, realização de atividades rotineiras ou durante a pratica de exercícios físicos. Há também, pacientes que desejam melhorar a estética vulvar apesar da grande variação anatômica dessa região. A cirurgia para diminuir os lábios pode ser feita através da aplicação do laser melhor resultado estético diminuído a chance de complicações como hematomas e sangramentos.

O laser vaginal deve ser realizado por profissional com formação em ginecologia.

Inicialmente são propostas 3 sessões com intervalo mínimo de 30 dias entre as aplicações.

Pode ser necessária sessões de manutenção de 6/6 meses ou anuais.

Assim como no exame de ultrassonografia, as ponteiras do laser são introduzidas via vaginal (cada ponteira para um tratamento diferente) após aplicação de anestésico tópico na região e os disparos serão realizados em todo comprimento da vagina. Cada sessão dura em média 30 minutos.

Algumas pacientes podem queixar dor leve ou ardor após a aplicação, mais comum no terceiro dia após o tratamento, o que pode ser aliviado com uso de cremes locais.